Browse our gallery to see the amazing results our orthodontist and team in Brighton, Michigan, have achieved! To find out more about our services and schedule your appointment with Dr. Leon Siomka, contact Siomka Orthodontics today at 810-227-6995.

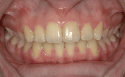
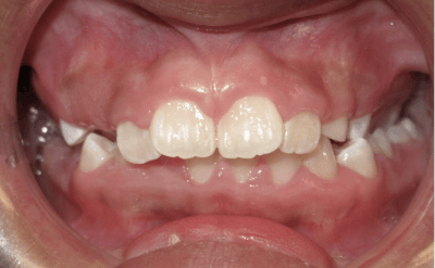
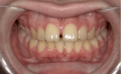
Before
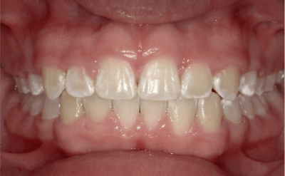
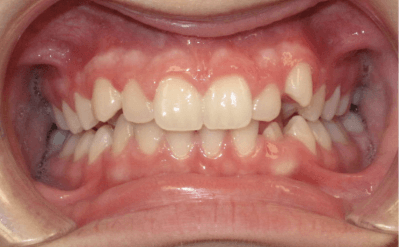
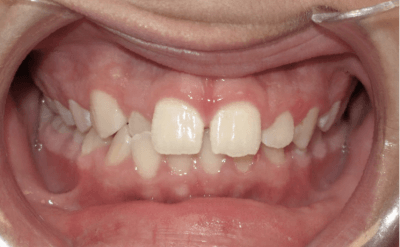
After
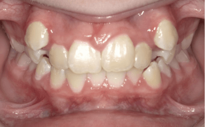
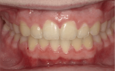
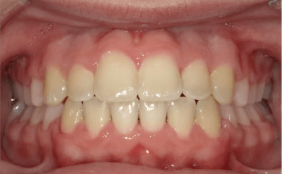
Before
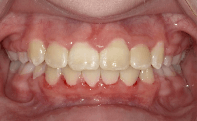
After
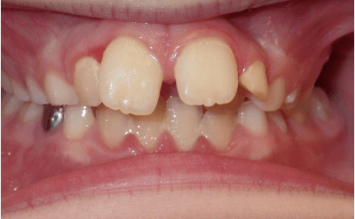
Before
After
Before
After
Before
After
Before
After
Before
After
Before
After